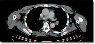
Ganzkörper-PET/CT, eingezeichnet ist die Schnittebene.
|
 |
CT
|
 |
PET/CT
|
 |
|
Bei einem Patienten mit Non-Hodgkin- Lymphom (Lymphknotenkrebs) wurde nach der Chemotherapie eine PET/CT durchgeführt. In der Achsel wird in der PET eine Lymphknotenmetastase sichtbar, die in der CT allein nicht zu erkennen ist. Anhand der PET/CT-Kombinationsaufnahme lässt sich die Metastase exakt lokalisieren. |
|