 |
|
 |
Das Herz und die großen zu- und abführenden Gefäße |
 |
|
| Die Krankheiten des Herz-Kreislaufsystems sind die häufigste Todesursache in Deutschland: 1994 starben von 100000 Einwohnern jeweils 449 Männer und 601 Frauen an einer Erkrankung des Herz-Kreislaufsystems. Darunter waren 123 Männer und 91 Frauen, die einen akuten Herzinfarkt erlitten. Demgegenüber stehen zunehmend bessere therapeutische Möglichkeiten, Herzerkrankungen zu heilen oder in der Auswirkung zu mindern. Voraussetzung dafür ist allerdings eine möglichst frühzeitige und präzise Diagnose. |
 |
 |
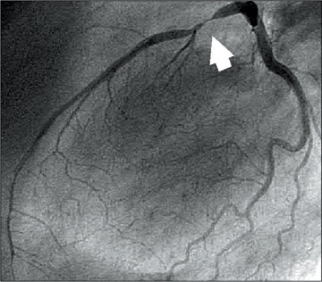
Bei der Koronarangiographie werden über die Venen (beginnend in Leiste oder Ellenbogen) dünne Schläuche (Katheter) in die Herzkammern geführt, so dass Röntgen-Kontrastmittel direkt in die Herzkranzgefäße gespritzt werden kann. In der Röntgenaufnahme ist gut zu sehen, wo in den großen Herzkranzgefäßen ein Engpass (Pfeil) oder gar ein Verschluss aufgetreten ist. |
|
| Alarmsignale für eine Erkrankung der Herzkranzgefäße, die sogenannte Koronare Herzkrankheit (KHK), sind Symptome, die mehr oder weniger typisch sein können. Dazu zählen Druckgefühl oder Brennen in der Brust eventuell mit Ausstrahlung in den linken Arm oder EKG-Befunde (Elektrokardiogramm) im Rahmen einer Routineuntersuchung. Problematisch ist dabei einerseits, dass solche Beschwerden auch durch ganz andere Erkrankungen hervorgerufen werden können wie beispielsweise Wirbelsäulen- und Speiseröhrenerkrankungen. Andererseits kann eine KHK auch lange Zeit ohne diese Symptome verlaufen. |
|
 |
Eine Information der Deutschen Gesellschaft für Nuklearmedizin e.V. (DGN) |
 |
Copyright © 2002 DGN e.V. |